Digital Subtraction Angiography Cost In Hyderabad
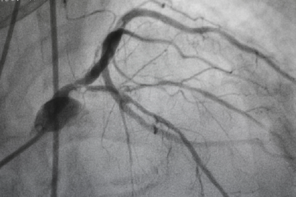
A powerful imaging technique that helps visualize the blood vessels of the brain, heart, and limbs, subtracting the surrounding “noise” (i.e., bones, tissues, and shadows)—leaving behind a crystal-clear roadmap of your circulation for prompt diagnosis and navigating towards an effective treatment for an underlying condition.
Best Hospital for Digital Subtraction Angiography in Hyderabad
If you are worried about certain symptoms, such as fatigue, dizziness, and unexplained pain, and your doctor suspects underlying blood vessel damage, he will suggest a DSA scan. At Yashoda, with cutting-edge technology and an expert team of Cardiologists, physicians, and technicians, we provide affordable and transparent pricing.
Benefits of Digital Subtraction Angiography
- Minimally invasive & less radiation exposure.
- Navigation method for doctors during complex interventions like stent placements or angioplasty procedures.
- An effective diagnostic tool for early detection of serious conditions such as aneurysms or internal bleeding
- Provides higher-quality or clearer detailed visuals of blood vessels than regular X-rays or CT scans.













Appointment
WhatsApp
Call
More