బ్రెయిన్ స్ట్రోక్ మరియు చికిత్సవిధానాలు
1. స్ట్రోక్ లేదా బ్రెయిన్ ఎటాక్ అంటే ఏమిటి?
2. బ్రెయిన్ ఎటాక్ లేదా స్ట్రోక్ యొక్క సంకేతాలు మరియు లక్షణాలు ఏమిటి?
3. స్ట్రోక్ యొక్క రకాలు ఏమిటి?
4. స్ట్రోక్ వచ్చే అవకాశం పెరగడానికి కారణాలు ఏమిటి?
5. స్ట్రోక్ ని వైద్యులు ఏవిధంగా నిర్ధారిస్తారు ?
6. బ్రెయిన్ స్ట్రోక్ కు ఉన్న చికిత్సవిధానాలు ఏమిటి?
7. స్ట్రోక్ వలన ఏర్పడే కాంప్లికేషన్స్ ఏమిటి?
8. స్ట్రోక్ తరువాత పునరావాసం మరియు రికవరీ సమయంలో ఒక వ్యక్తి పరిగణ లోకి తీసుకోవాల్సిన అంశాలు ఏమిటి ?
స్ట్రోక్ లేదా బ్రెయిన్ ఎటాక్ అంటే ఏమిటి?
స్ట్రోక్ అనేది రక్తప్రసరణకు అవరోధం కలగడం లేదా నరాలు చిట్లడము వల్ల సంభవించే వైద్య అత్యవసర పరిస్థితి, అంటే మెదడుకు ఆక్సిజన్ మరియు పోషకాలను తీసుకెళ్లే రక్తనాళాలు చిట్లి పోవడం , రక్త సరఫరాకు అంతరాయం ఏర్పడటం తత్ఫలితంగా మెదడులోని ఒక భాగానికి ఆక్సిజన్ అంతరాయం కలిగించడం వల్ల ఆ భాగం యొక్క కణ మరణానికి దారితీస్తుంది. స్ట్రోక్ సంభవించినప్పుడు సకాలం లో చికిత్స చేయడం అనేది దీర్ఘకాలిక లేదా శాశ్వత నష్టాన్ని నిరోధించడానికి చాలా కీలకమైనది, ఇది స్ట్రోక్ ని వైద్య అత్యవసర పరిస్థితిగా మారుస్తోంది.
స్ట్రోక్ ని గుర్తించడానికి సంకేతాలు మరియు లక్షణాలు ఏమిటి?
స్ట్రోక్ యొక్క అత్యంత సాధారణంగా గుర్తించే లక్షణాల్లో ఇవి ఉంటాయి:
- మాట్లాడటం మరియు అర్థం చేసుకోవడంలో ఇబ్బంది: మాట్లాడటం మరియు మరొకరి ప్రసంగాన్ని అర్థం చేసుకోవడంలో ఇబ్బంది ఉండవచ్చు. ఈ అంశాలలో గందరగోళానికి గురవుతారు.
- పక్షవాతం లేదా తిమ్మిరి: ఒక వ్యక్తికి అకస్మాత్తుగా తిమ్మిరి, బలహీనత లేదా శరీరంలోని భాగాలలో పక్షవాతము సంభవించవచ్చు, ఎక్కువగా ముఖం, చేయి లేదా కాలు వంటి అవయవాలకు ఒక వైపు సంభవించవచ్చు .
- దృష్టి యొక్క ఇబ్బందులు: ఒక వ్యక్తికి కింద తెలియ చేయబడిన దృష్టి యొక్క సమస్యలు రావచ్చు వస్తువులు రెండుగా కనిపించుట , చూపు మసకబారడం లేదా ఒకటి లేదా రెండు కళ్ళలో నల్లబడటం జరగవచ్చు .
- అకస్మాత్తుగా, తీవ్రమైన తలనొప్పి: స్ట్రోక్ తో సంబంధం ఉన్న తలనొప్పి అకస్మాత్తుగా, తీవ్రంగా ఉండవచ్చు మరియు వాంతులు, మగత లేదా స్పృహ కోల్పోవడం వంటి లక్షణాలు కూడా కలిగి ఉండవచ్చు.
- నడవడం కష్టంగా ఉండటం: ఒక వ్యక్తి ఆకస్మిక మైకము, లేదా సమన్వయం కోల్పోవడం మరియు సమతుల్యత కోల్పోవడం వంటి వాటి వల్ల నడవటం లో ఇబ్బందులు కలగవచ్చు .
స్ట్రోక్ యొక్క ఏవైనా సంకేతాలు లేదా లక్షణాలు ఉన్న వ్యక్తిని గమనించినట్లయితే వెంటనే వైద్య సాయం అందించాలి . ఆ లక్షణాలు కొన్నిసార్లు వచ్చి తగ్గిపోయిన లేదా పూర్తిగా తగ్గిపోయిన , వెంటనే వైద్య సహాయం కోరాలి. ఒకవేళ స్ట్రోక్ గా అనుమానించబడితే, FAST అని పిలువబడే క్విక్ రెజిమి ద్వారా ధృవీకరించడానికి ప్రయత్నించవచ్చు:
- ముఖం: చిరునవ్వు నవ్వడానికి ప్రయత్నించమని వ్యక్తిని అడగాలి. నవ్వినపుడు మూతి ఒక వైపుకు వాలినట్లయితే, స్ట్రోక్ గా అనుమానించాలి
- చేతులు: రెండు చేతులను కలిపి తలపైకి ఎత్తమని వ్యక్తిని కోరాలి. ఒక వ్యక్తి చేయి ఎత్తలేకపోయినట్లయితే లేదా ఒక చేయి ఒక వైపుకు పడటం ప్రారంభించినా లేదా దిగువకు కొట్టుకుపోయినట్లయితే స్ట్రోక్ గా అనుమానించాలి.
- మాట్లాడే విధానం : సరళమైన పదాలు లేదా పదబంధాలను పునరావృతం చేయమని వ్యక్తిని అడగాలి. మాట్లాడే విధానం సరిగా లేకపోయిన లేదా ముద్దగా మాటలు వస్తున్న స్ట్రోక్ గా అనుమానపడాలి .
- సమయం: ఈ లక్షణాలలో దేనినైనా గమనించినట్లయితే, సమయం చాలా ముఖ్యమైనది. అత్యవసర వైద్య సాయం వెంటనే కోరాలి. లక్షణాలు కనిపించటం ప్రారంభించే సమయంపై ప్రత్యేక శ్రద్ధ వహించాలి.
సమర్ధవంతమయిన చికిత్స ను అందించటానికి మంచి చికిత్స ఫలితాలను పొందటానికి
సకాలంలో వైద్య సహాయం అందించాలి .లక్షణాలు కనిపించిన వెంటనే వైద్యుని వద్దకు తీసుకుపోవాలి .
స్ట్రోక్ యొక్క రకాలు ఏమిటి?
స్ట్రోక్ అనేది ప్రధానంగా ఇస్కీమిక్(ischemic) లేదా హెమరేజిక్ స్ట్రోక్( hemorrhagic stroke) అనే రెండు రకాలు. కొన్నిసార్లు ఒక వ్యక్తికి మెదడుకు రక్త ప్రవాహానికి అంతరాయం కలిగించవచ్చు, ఇది తాత్కాలికంగా ఉంటుంది ,మరియు శాశ్వత లక్షణాలకు దారితీయదు. ఈ పరిస్థితిని తాత్కాలిక ఇస్కీమిక్ ఎటాక్(TIA) అని అంటారు.
ఇస్కీమిక్ స్ట్రోక్
ధమనిలో అడ్డంకి కారణంగా సంభవించే స్ట్రోక్ .ఇది అత్యంత సాధారణమయిన రకం . మెదడు రక్తనాళం సన్నబడటం లేదా వాటికి అవరోధం ఏర్పడటం వల్ల,వీటి ద్వారా సరఫరా చేయబడ్డ మెదడు భాగాలకు రక్త ప్రవాహం లేదా ఇస్కీమియా తీవ్రంగా తగ్గుతుంది. అథెరోస్క్లెరోసిస్ వంటి పరిస్థితులు అంటే రక్తనాళాల్లో కొవ్వు నిక్షేపాలు ఏర్పడటం లేదా స్థానికంగా రక్తం గడ్డకట్టడం లేదా రక్తప్రవాహం ద్వారా అవి రక్తనాళాలను అడ్డుకోవడం ద్వారా ఇస్కీమిక్ స్ట్రోక్ కు కారణం అవుతుంది.
హెమరేజిక్ స్ట్రోక్
రక్తనాళం లోపల నుంచి లీకేజీ కావడం లేదా చిట్లటం వల్ల ఈ రకమైన స్ట్రోక్ ఏర్పడుతుంది. మెదడు రక్తస్రావం రక్తనాళాలను ప్రభావితం చేసే అనేక పరిస్థితుల ఫలితంగా సంభవించవచ్చు. రక్తస్రావం ఎక్కడ జరిగింది అనే అంశాన్ని బట్టి , స్ట్రోక్ రెండు రకాలుగా ఉంటుంది:

- ఇంట్రాసెరిబ్రల్ హెమరేజ్- ICH: మెదడు కణజాలాలు లేదా జఠరికల్లో (ventricles) సంభవిస్తుంది
- Subarachnoid హెమరేజ్ -SAH (ఎస్ఎహెచ్): మెదడు మరియు మెదడును కప్పివేసే కణజాలం మధ్య స్థలంలో సంభవిస్తుంది
ఆర్టిరియోవెనస్ మాల్ ఫార్మేషన్: సన్నని గోడల రక్తనాళాల యొక్క అబ్నార్మల్ టంగిల్ చిట్లటం కొన్నిసార్లు మెదడులో రక్తస్రావానికి దారితీస్తుంది.ఇది అరుదుగా జరుగుతుంది .
తాత్కాలిక ఇస్కీమిక్ ఎటాక్(TIA)
కొన్నిసార్లు, ఇస్కీమియా లేదా మెదడుకు రక్త సరఫరా తగ్గడం చాలా తక్కువ స్థాయి లో ఉండవచ్చు,
ఐదు నిమిషాలకంటే తక్కువ ఉంటే ఇది శాశ్వత నష్టాన్ని కలిగించదు. ఈ పరిస్థితిని టిఐఎ లేదా మినీ స్ట్రోక్ అని అంటారు. గడ్డకట్టడం లేదా శిధిలాల కారణంగా ఇస్కీమిక్ స్ట్రోక్ వంటి టిఐఎ ఏర్పడవచ్చు, ఇది నాడీ వ్యవస్థలోని ఒక భాగానికి రక్త ప్రవాహాన్ని తాత్కాలికంగా తగ్గిస్తుంది మరియు తరువాత పరిష్కరిస్తుంది.
అయితే, ఒక వ్యక్తి యొక్క లక్షణాల ఆధారంగా స్ట్రోక్ లేదా టిఐఎ మధ్య తేడాను గుర్తించడం ఎల్లప్పుడూ సాధ్యం కాదు. కాబట్టి టిఐఎ అనుమానించినప్పటికీ అత్యవసర పరీక్షలు చేయించుకోవాలి .
మెదడుకు పాక్షికంగా మూసుకుపోయిన లేదా సంకోచింపబడిన ధమని కారణంగా టిఐఎ సంభవించవచ్చు, ఇది తరువాత పూర్తి స్థాయి స్ట్రోక్ వచ్చే ప్రమాదాన్ని పెంచుతుంది.
స్ట్రోక్ వచ్చే అవకాశం పెరగడానికి కారణాలు ఏమిటి?
అనేక కారణాల వల్ల స్ట్రోక్ ప్రమాదం పెరుగుతుంది, వీటిలో కొన్ని ఈ విధంగా ఉంటాయి:
- వయస్సు: 55 సంవత్సరాల కంటే ఎక్కువ వయస్సు ఉన్న వ్యక్తులకు సాధారణంగా యువత కంటే స్ట్రోక్ వచ్చే ప్రమాదం ఎక్కువగా ఉంటుంది.
- స్త్రీ పురుష బేధం : సాధారణంగా మహిళల్లో కంటే పురుషుల్లో స్ట్రోక్ వచ్చే ప్రమాదం ఎక్కువగా ఉంటుంది. పెద్ద వయసు మహిళల్లో స్ట్రోక్ లు ఎక్కువగా ఉంటాయి, పురుషుల కంటే మహిళల్లో స్ట్రోక్ కారణంగా మరణించే సంభావ్యత ఎక్కువగా ఉంటుంది.
- హార్మోన్లు: ఈస్ట్రోజెన్ కలిగి ఉన్న హార్మోన్ థెరపీలు లేదా గర్భనిరోధక మాత్రలను ఉపయోగించడం వల్ల స్ట్రోక్ వచ్చే ప్రమాదం పెరుగుతుంది.
జీవనశైలి _కారణాలు
- ఊబకాయం లేదా అధిక బరువు
- జీవనశైలి లో స్తబ్ధత (sedentary lifestyle)
- పొగా తాగడం లేదా కొకైన్ మరియు మెథాంఫెటమైన్ వంటి మాదకద్రవ్యాలు , మద్యం మరియు మాదకద్రవ్యాల దుర్వినియోగం.
ఆరోగ్యానికి సంబంధించిన కారణాలు
- హైపర్ టెన్షన్ లేదా అధిక రక్తపోటు
- హైపర్ కొలెస్ట్రాలేమియా లేదా అధిక కొలెస్ట్రాల్
- మధుమేహం
- అబ్ స్ట్రక్టివ్ స్లీప్అప్నియా వంటి నిద్ర రుగ్మతలు
- గుండె లోపాలు, గుండెలోపల infections లేదా atrial fibrillation, గుండె కొట్టుకోవడంలో అసాధారణతలు,వాటికి సంబంధించిన గుండె సంబంధిత వ్యాధులు.
- యాంటీకోయాగ్యులెంట్ లు లేదా బ్లడ్ థిన్నర్లు దీర్ఘకాలం ఉపయోగించడం
- గతంలో స్ట్రోక్ ,TIA లేదా హార్ట్ ఎట్టక్ వచ్చిన లేదా అటువంటి కుటుంబ చరిత్ర కలిగిన వారు
- అన్యూరిజం(aneurysms) వంటి శరీర నిర్మాణ లోపాలు అంటే రక్తనాళాల గోడలలో బలహీనమైన ప్రాంతంలో ఉబ్బడం
- తలకు ప్రమాదవశాత్తు గాయాలు కావడం అంటే రోడ్డు ట్రాఫిక్ ప్రమాదాలలో తగిలిన గాయాలు
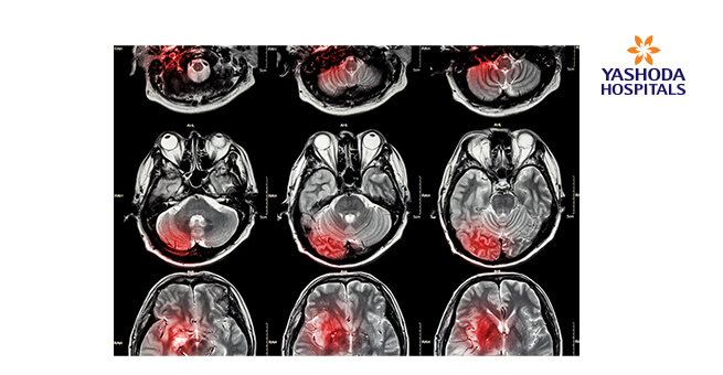
స్ట్రోక్ ని వైద్యులు ఏవిధంగా నిర్ధారిస్తారు ?
స్ట్రోక్ అనేది అత్యవసర పరిస్థితి కనుక, స్ట్రోక్ యొక్క రోగనిర్ధారణ వేగంగా చేయాలి మరియు ఆసుపత్రిలోని వైద్య అత్యవసర బృందం ఆ వ్యక్తికి ఎలాంటి స్ట్రోక్ ఉందో తెలుసుకోవడానికి ప్రయత్నిస్తుంది. ఆసుపత్రికి వచ్చిన వెంటనే ఇమేజింగ్ పరీక్షలు నిర్వహించబడతాయి.

దిగువ అంశాల ఆధారంగా రోగనిర్ధారణ సాధారణంగా చేయబడుతుంది:
చరిత్ర మరియు శారీరక పరీక్ష: శీఘ్ర వైద్య చరిత్ర తీసుకున్న తరువాత, ఒక వ్యక్తి యొక్క శారీరక మరియు నరాల స్థితిని అంచనా వేయడానికి ఒక వైద్యుడు శీఘ్ర శారీరక పరీక్ష (quick physical examination)చేస్తాడు.
రక్త పరీక్షలు: గడ్డకట్టే సమయం, రక్తంలో చక్కెర, infection మొదలైన పరామితులను తనిఖీ చేయడానికి అనేక రక్త పరీక్షలు చేయబడతాయి.
ఇమేజింగ్ పరీక్షలు:
- కంప్యూటరైజ్డ్ టోమోగ్రఫీ : మెదడులో రక్తస్రావం యొక్క ఖచ్చితమైన ప్రదేశాన్ని మరియు ఇస్కీమిక్ స్ట్రోక్ లేదా కణితి లేదా ఇతర పరిస్థితుల ఉనికి వంటి కారణాన్ని తెలుసుకోవడం కొరకు కంప్యూటరైజ్డ్ టోమోగ్రఫీ (సిటి) స్కాన్ చేయబడుతుంది. మెడ మరియు మెదడులోని రక్తనాళాలను మరింత వివరంగా వీక్షించడానికి, డై ఇంజెక్ట్ చేయవచ్చు. మరియు ప్రక్రియను కంప్యూటరైజ్డ్ టోమోగ్రఫీ ఆంగియోగ్రఫీ అని అంటారు.
- మాగ్నెటిక్ రిసోనెన్స్ ఇమేజింగ్ (MRI): ఇస్కీమిక్ స్ట్రోక్ మరియు మెదడు రక్తస్రావం వల్ల దెబ్బతిన్న కణజాలాలను గుర్తించడానికి ఎంఆర్ఐ చేయవచ్చు. ధమనులు మరియు సిరలను స్పష్టంగా వీక్షించడానికి మరియు రక్త ప్రవాహాన్ని హైలైట్ చేయడానికి, వైద్యులు మాగ్నెటిక్ రిసోనెన్స్ ఆంగియోగ్రఫీ లేదా మాగ్నెటిక్ రిసోనెన్స్ వెనోగ్రఫీ అని పిలువబడే ప్రక్రియలో డై(dye)ని ఇంజెక్ట్ చేయాల్సి ఉంటుంది.
- కరోటిడ్ అల్ట్రాసౌండ్(carotid ultrasound): మెదడు మరియు మెడ యొక్క ప్రధాన ధమనులు అయిన కరోటిడ్ ధమనులలో కొవ్వు నిల్వలు మరియు రక్త ప్రవాహం ఉంటేఈ పద్ధతిని ఉపయోగించి చేయవచ్చు
- ఎకోకార్డియోగ్రామ్: గుండెలో గడ్డకట్టే ఏదైనా వనరు మెదడుకు ప్రయాణించి స్ట్రోక్ కు దారితీస్తుందని తెలుసుకోవడానికి ఈ ప్రక్రియ చేయబడుతుంది.
బ్రెయిన్ స్ట్రోక్ కు ఉన్న చికిత్సవిధానాలు ఏమిటి?
స్ట్రోక్ కొరకు అత్యవసర చికిత్స అనేది ఒక వ్యక్తికి ఉండే స్ట్రోక్ రకం, అంటే ఇస్కీమిక్ స్ట్రోక్ లేదా హెమరేజిక్ స్ట్రోక్ పై ఆధారపడి ఉంటుంది.
ఇస్కీమిక్ స్ట్రోక్(Ischemic stroke)
తీవ్రమైన ఇస్కీమిక్ స్ట్రోక్ తరువాత చికిత్స యొక్క లక్ష్యం సాధ్యమైనంత త్వరగా మెదడు యొక్క ప్రభావిత ప్రాంతానికి రక్త ప్రవాహాన్ని పునరుద్ధరించడం, అంటే స్ట్రోక్ లక్షణాల లక్షణాలు కనిపించిన మొదటి కొన్ని గంటల్లోనే. తీవ్రమైన ఇస్కీమిక్ స్ట్రోక్ (AIS) వైకల్యత ఉన్న వ్యక్తులకు చికిత్స ఫలితాలను నిర్ణయించడంలో చికిత్స వేగం ఒక కీలకమైన అంశం. AIS వేగంగా పురోగమించడానికి మరియు సకాలంలో చికిత్స చేయనట్లయితే దీర్ఘకాలిక ప్రభావాలకు దారితీయవచ్చు.
ఇస్కీమిక్ స్ట్రోక్ కు ప్రధానం గా అందుబాటులో ఉన్న చికిత్సలు:
థ్రాంబోలైటిక్ థెరపీ: మెదడుకు రక్త ప్రవాహాన్ని నిరోధించే గడ్డను విచ్ఛిన్నం చేయడానికి ఆల్టెప్లేజ్ లేదా “tPA” అనే ఔషధాన్ని సిర (IV) ద్వారా ఇస్తారు. ఇంట్రావీనస్ ద్వారా ఇచ్చినప్పుడు లక్షణాలు కనిపించిన 4,5 గంటల్లోగా థెరపీని ఇవ్వాలి. టిపిఎతో శీఘ్ర చికిత్స ఒక వ్యక్తి యొక్క మనుగడ అవకాశాలను మెరుగుపరచడమే కాకుండా సంక్లిష్టతలను తగ్గించవచ్చు. రక్త ప్రవాహాన్ని పునరుద్ధరించడానికి టిపిఎ గడ్డకట్టిన రక్తాన్ని కరిగిస్తుంది. tPA మీకు సముచితమైనదా లేదా అని తెలుసుకోవడం కొరకు మెదడులో రక్తస్రావం వంటి కొన్ని అంశాలను మీ వైద్యుడు పరిగణనలోకి తీసుకోవాలి.
కొన్నిసార్లు tPA నేరుగా మెదడులోకి క్యాథటర్(catheter) ను చొప్పించడం ద్వారా నేరుగా డెలివరీ చేయబడవచ్చు, అంటే గజ్జల్లో ధమని ద్వారా పొడవైన, సన్నని ట్యూబ్ ని చొప్పించవచ్చు, ఇది స్ట్రోక్ జరిగిన ప్రదేశంలో నేరుగా టిపిఎను డెలివరీ చేయడం కొరకు మెదడుకు క్రమంగా అభివృద్ధి చెందించబడుతుంది. ఈ చికిత్స కొరకు టైమ్ విండో కూడా పరిమితంగా ఉంటుంది, అయితే ఇంజెక్ట్ చేయబడ్డ Tpa
కంటే కొంత పొడవుగా ఉంటుంది, అయితే ఇంకా పరిమితంగా ఉంది.
మెకానికల్ థ్రాంబెక్టోమీ: ఈ ప్రక్రియలో, ఒక స్పెషలిస్ట్ ఒక క్యాథటర్ ను “స్టెంట్ రిట్రీవర్ పరికరం” లేదా suction ను మూసుకుపోయిన రక్తనాళాల్లో ఉంచి, క్లాట్స్ ను నేరుగా మెదడు నుండి తొలగిస్తారు .
టిపిఎతో పూర్తిగా తొలగించలేని పెద్ద గడ్డలు ఉన్న వ్యక్తులకు, మెకానికల్ థ్రాంబెక్టోమీ ప్రయోజనకరంగా ఉంటుంది. ఇది సాధారణంగా ఇంజెక్ట్ చేయబడ్డ టిపిఎతో కలిపి నిర్వహించబడుతుంది.
కొత్త ఇమేజింగ్ టెక్నాలజీల రాకతో, ఈ ప్రక్రియలను పరిగణించగల టైమ్ విండో క్రమంగా పెరుగుతోంది. పెర్ఫ్యూజన్ ఇమేజింగ్ పరీక్షలు CT or MRI టెక్నిక్ లు మెకానికల్ థ్రాంబెక్టమీ వంటి ప్రక్రియల నుంచి ఒక వ్యక్తి ఎంత మేరకు ప్రయోజనం పొందే అవకాశం ఉందో తెలుసుకోవడంలో వైద్యులకు సహాయపడతాయి.
ఇతర ప్రక్రియలు
కొన్నిసార్లు, మరో స్ట్రోక్ రాకుండా నివారించడానికి ప్రమాదాన్ని తగ్గించడం కొరకు, ప్లాకు వలన కుదించబడ్డ ధమనిని తెరవడానికి సూచించవచ్చు . సూచించబడిన కొన్ని ఆప్షన్ లు ఇవి .
- కరోటిడ్ ఎండార్టెరెక్టమీ: కరోటిడ్ ధమనిని నిరోధించే plaque ని తొలగించడం ఇస్కీమిక్ స్ట్రోక్ ప్రమాదాన్ని తగ్గిస్తుంది.
- యాంజియోప్లాస్టీ మరియు స్టెంట్లు:ఆంజియోప్లాస్టీ మరియు ప్లాకు తో నిరోధించబడిన గుండె యొక్క ప్రధాన ధమనులలో స్టెంట్లను ఉంచడం స్ట్రోక్ ప్రమాదాన్ని తగ్గించడానికి సహాయపడుతుంది.
హెమరేజిక్ స్ట్రోక్: రక్తస్రావాన్ని నియంత్రించడం మరియు రక్తం గడ్డకట్టడం లేదా అదనపు ద్రవం పేరుకుపోవడం వల్ల మెదడుపై ఒత్తిడిని తగ్గించడం హెమరేజిక్ స్ట్రోక్ యొక్క అత్యవసర చికిత్స యొక్క ప్రధాన లక్ష్యం. హెమరేజిక్ స్ట్రోక్ కొరకు నిర్దేశించిన చికిత్స విధానాలు :
Medication( ఔషధాలు): స్కాన్ లో హెమరేజిక్ స్ట్రోక్ కనిపించినట్లయితే, వైద్యులు ఈ చికిత్సా విధానాలను ఉపయోగించవచ్చు .
* రక్తస్రావం వల్ల మెదడు దెబ్బతినడం తగ్గించటం కొరకు ఔషధాలను ఇవ్వడం
- ఒకవేళ రక్తపోటు ఎక్కువగా ఉన్నట్లయితే దానిని తగ్గించడం కొరకు ఔషధాలను ఇవ్వడం
- ఒకవేళ ఒక వ్యక్తి రక్తం పలచబడే ఔషధాలపై ఉన్నట్లయితే, రక్తస్రావాన్ని ఆపడం కొరకు రక్తం గడ్డకట్టడంలో సహాయపడటం కొరకు కొన్ని ప్రత్యామ్నాయ ఔషధాలను ఇవ్వవచ్చు. రక్తాన్ని పలచబడటానికి లేదా గడ్డకట్టకుండా నిరోధించడానికి ఒక వ్యక్తి తీసుకుంటున్న ఏవైనా మందులను నిలిపివేయాలి.
- (Surgery)శస్త్రచికిత్స: లక్షణాలు మరియు సంబంధిత అంశముల తీవ్రతను బట్టి, కొంతమంది వ్యక్తులకు శస్త్రచికిత్స అవసరం కావొచ్చు. మెదడుపై ఒత్తిడి కలిగిస్తున్న లేదా మెదడు ఉబ్బడానికి కారణమైనట్లయితే లేదా మెదడులో రక్తస్రావాన్ని ఆపడానికి మరియు రక్తస్రావం అవుతున్న రక్తనాళాన్ని సరిచేయటానికి వైద్యులు శస్త్రచికిత్స చేస్తారు.
రక్తస్రావం తరువాత మొదటి 48 నుంచి 72 గంటల్లోశస్త్రచికిత్స సాధారణంగా చేయవచ్చు. ఒకవేళ ప్రభావిత వ్యక్తి పరిస్థితి స్థిరం గా లేనట్లయితే, ఒకటి నుంచి రెండు వారాల వరకు శస్త్రచికిత్స ఆలస్యం కావొచ్చు.
సూచింపబడిన కొన్ని శస్త్రచికిత్సలు
- అన్యూరిజం చికిత్స: అన్యూరిజం అనేది రక్తనాళాల్లో బలహీనమైన ప్రాంతం, ఇది బయటికి ఉబ్బుతుంది .రక్తనాళాలు పగిలిపోవడం వల్ల రక్తస్రావం వల్ల హెమరేజిక్ స్ట్రోక్ రావొచ్చు. అన్యూరిజం పగిలిపోయిన ట్లయితే సుబారాచ్నాయిడ్ రక్తస్రావం మరియు మెదడు దెబ్బతినే ప్రమాదం చాలా ఎక్కువగా ఉంటుంది కనుక, అత్యవసర శస్త్రచికిత్స అవసరం కావొచ్చు.
- శస్త్రచికిత్స లోని రకాలు :
- సర్జికల్ క్లిప్పింగ్: ఈ శస్త్రచికిత్స ప్రక్రియతో అన్యూరిజం మూసివేయబడుతుంది . ఆన్యురిసమ్ ని యాక్సెస్ చేసుకోవడానికి మరియు అన్యూరిజం యొక్క ఫీడింగ్ బ్లడ్ వెసల్ ని గుర్తించడం కొరకు పుర్రె యొక్క ఒక భాగాన్ని క్రానియోటమీ ద్వారా తొలగించబడుతుంది. రక్త ప్రవాహాన్నిఆపటానికి అన్యూరిజం మెడపై ఒక లోహపు క్లిప్ ఉంచబడుతుంది.
- ఎండోవాస్కులర్ థెరపీ లేదా కాయిలింగ్: ఇది అతి తక్కువ హానికర ప్రక్రియ, శస్త్రచికిత్స క్లిప్పింగ్ కంటే తక్కువ హానికరం . ప్రభావిత రక్తనాళాలు క్యాథటర్ లేదా గజ్జల్లో చిన్న గాటు ద్వారా చొప్పించబడే హలో ట్యూబు తో యాక్సెస్ చేయబడతాయి. తరువాత ఒక మృదువైన ప్లాటినం వైరును అన్యూరిజంలోనికి నెట్టడం కొరకు క్యాథటర్ ద్వారా గైడ్ వైర్ పంపబడుతుంది. అన్యూరిజంకు రక్త ప్రవాహం, ధమని అన్యూరిజంకు రక్తాన్ని సరఫరా చేసే బేస్ చుట్టూ తీగను చుట్టడం ద్వారా అపబడుతుంది .
- ఫ్లో డైవర్టర్లు (Flow diverters): ఇవి మెదడు అన్యూరిజం కొరకు వచ్చిన కొత్త చికిత్స విధానాలు, ముఖ్యంగా ఇతర రకాల చికిత్సలలో లేని పెద్దవి. ఫ్లో డైవర్టర్లు అనేవి ట్యూబులర్ స్టెంట్ లాంటి ఇంప్లాంట్ లు, ఇవి అన్యూరిజం నుంచి రక్త ప్రవాహాన్ని మళ్లించడం ద్వారా పనిచేస్తాయి. అన్యూరిజం లోపల రక్త ప్రవాహం ఆగిపోయిన తరువాత, అక్కడ నయం చేయడానికి శరీరం ఉత్తేజపరచబడుతుంది మరియు పేరెంట్ ఆర్టెరి యొక్క పునర్నిర్మాణం జరుగుతుంది .
- ఆర్టిరియోవెనస్ మాల్ ఫార్మేషన్ చికిత్స: ఆర్టిరియోవెనస్ మాల్ ఫార్మేషన్ (AVM) అనేది మెదడులోని ధమనులు మరియు సిరలను కలిపే రక్తనాళాల అసాధారణ టాంగ్లింగ్. స్ట్రోక్ వస్తే AVM లకు మరింత రక్తస్రావం అయ్యే ప్రమాదం ఉంది. మేనేజ్ మెంట్ ఆప్షన్ ల్లో శస్త్రచికిత్స, రేడియేషన్ లేదా రేడియోసర్జరీతో రక్తనాళాలు కుంచించుకుపోవడం లేదా ఎంబోలైజేషన్ టెక్నిక్ లు ఉంటాయి.
- డీకమోప్రెసివ్ క్రానియోటమీ: మెదడులో రక్తం గడ్డకట్టడం వల్ల కలిగే ఒత్తిడి ప్రభావాల కారణంగా ప్రాణాంతక పరిస్థితి ఉన్నట్లయితే, న్యూరోసర్జన్ బ్రైన్ ను తెరవడానికి మరియు/లేదా రక్తాన్ని తొలగించడానికి ఈ ప్రక్రియను ఉపయోగించవచ్చు . డీకంప్రెషన్ క్రానియోటమీ ఉపయోగించటానికి రక్తస్రావం యొక్క స్థానం మరియు పరిమాణం లను పరిగణలోకి తీసుకుంటారు , రోగి వయస్సు మరియు వైద్య పరిస్థితి ని బట్టి స్ట్రోక్ నుండి తొందరగా కోలుకునే అవకాశాలు ఆధారపడి ఉన్నాయి.
స్ట్రోక్ వలన ఏర్పడే కాంప్లికేషన్స్ ఏమిటి?
మెదడు యొక్క రక్త ప్రవాహం ఎంతకాలం అడ్డగించబడింది, మరియు ఏ భాగం ప్రభావితం చేయబడిందో అనే అంశాల ఆధారంగా స్ట్రోక్ తరువాత ఒక వ్యక్తికి తాత్కాలిక లేదా శాశ్వత వైకల్యాలు సంభవించవచ్చు .
ఏ ఇబ్బందులు ఏర్పడవచ్చు .
- మాట్లాడటం లో సమస్యలు: స్ట్రోక్ వచ్చిన వ్యక్తులు కొన్నిసార్లు ఇక మాట్లాడలేకపోవచ్చు లేదా ప్రసంగాన్ని అర్థం చేసుకోలేకపోవచ్చు. ఈ పరిస్థితిని “అఫాసియా” అని అంటారు. కొ౦తమ౦దిలో మాట ముద్దగా ఉ౦డవచ్చు, ఆ పరిస్థితిని “డిస్సార్థ్రియా” అని పిలుస్తారు.
- కండరాల బలహీనత సమస్యలు: స్ట్రోక్ వచ్చిన వ్యక్తులకు కొన్నిసార్లు కండరాల బలహీనత లేదా శరీరం యొక్క ఒక వైపు పక్షవాతం వస్తుంది . కండరాల బలహీనత ముఖం, చేయి మరియు కాలుపై ప్రభావం చూపుతుంది, దీనిని “hemiparesis” అని అంటారు.
- నడవడం లో ఏర్పడే సమస్యలు: స్ట్రోక్ తరువాత, కొంతమందికి నడవడం, వస్తువులను పట్టుకోవడం లేదా వటువులు బాలన్స్ చేయడంలో ఇబ్బంది పడవచ్చు. స్ట్రోక్ బలహీనత లేదా స్పర్శను కోల్పోకపోయినా, వారు నియంత్రిత, ప్రణాళికాబద్ధమైన కదలికలను చేయలేకపోవచ్చు. ఆ పరిస్థితిని “అప్రాక్సియా”(apraxia) అని అంటారు.
- పాక్షికంగా స్పర్శకోల్పోవడం: స్ట్రోక్ తరువాత, కొంతమంది తమ శరీరం యొక్క ఎడమ లేదా కుడి సగం లో పాక్షికంగా లేదా పూర్తిగా స్పర్శ్య ని కోల్పోవచ్చు.
- తినడం లేదా మింగడం కష్టంగాఉండటం: స్ట్రోక్ ఉన్న వ్యక్తులు కొన్నిసార్లు మింగడం లేదా “డిస్ఫాజియా” ఇబ్బంది పడవచ్చు. డిస్ఫాజియా ఉన్న వ్యక్తులు కొన్నిసార్లు తమ వాయునాళం లేదా ఊపిరితిత్తుల్లో ఆహారం పెరుకోవచ్చు , ఇది ప్రమాదకరమైన పరిస్థితి.
- డిప్రెషన్: స్ట్రోక్ తరవాత వ్యక్తులు చాలాసార్లు కృంగిపోతారు, కనుక రికవరీ కష్టంగా మారుతుంది. స్ట్రోక్ తరువాత డిప్రెషన్ కు చికిత్స సాధారణంగా సిఫారసు చేయబడుతుంది.
- మూత్రాశయంలో సమస్యలు: మూత్రాశయాన్ని నియంత్రించడంలో ఇబ్బంది ఉండటం వల్ల మూత్రం కారడానికి కారణమయ్యే “మూత్ర నిరోధం” అని పిలువబడే పరిస్థితికి దారితీయవచ్చు. ఇది తరచుగా కాలక్రమేణా మెరుగవుతుంది.
స్ట్రోక్ తరువాత పునరావాసం మరియు రికవరీ సమయంలో ఒక వ్యక్తి పరిగణలోకి తీసుకోవాల్సిన అంశాలు ఏమిటి ?
స్ట్రోక్ అనంతరం తీసుకునే సంరక్షణ సాధారణంగా ఒక వ్యక్తి సాధ్యమైనంత శారీరక మరియు శారీరక పనితీరును కోలుకోవడానికి మరియు తిరిగి సాధారణ స్థితికి రావడానికి సహాయపడటంపై దృష్టి పెడతారు . బ్రైన్ లో ఏ భాగం లో ఇబ్బంది ఏర్పడింది . కణజాలం ఎంత మేరకు దెబ్బతింది , అనే అంశాల ఆధారంగా ఒకవ్యక్తి శరీర అవయవలపై స్ట్రోక్ యొక్క ప్రభావం ఉంటుంది .
మెదడు యొక్క కుడి వైపు స్ట్రోక్ శరీరం యొక్క ఎడమ వైపున కదలిక మరియు స్పర్శ్యని ప్రభావితం చేయవచ్చు మరియు దీనికి విరుద్ధంగా. మెదడు యొక్క ఎడమ వైపుకు దెబ్బతినడం వల్ల మాట్లాడటం మరియు భాషా రుగ్మతలకు కూడా దారితీయవచ్చు.
రికవరీ ప్రక్రియ సమయంలో, చికిత్స చేసే వైద్యుడు లేదా న్యూరాలజిస్ట్ స్ట్రోక్ కారణంగా వ్యక్తి యొక్క వయస్సు, మొత్తం ఆరోగ్యం మరియు ఏర్పడిన శారీరిక వైకల్యం అనే అంశాల ఆధారంగా అత్యంత సముచితమైన థెరపీని సూచిస్తారు . పునరావాస ప్రణాళిక సూచించే టప్పుడు వ్యక్తి యొక్క జీవనశైలి, ఆసక్తులు మరియు ప్రాధాన్యతలు మరియు కుటుంబ సభ్యులు లేదా ఇతర సంరక్షకులను పరిగణనలోకి తీసుకుంటారు.
సాధారణంగా ఆ వ్యక్తి ఆసుపత్రి నుంచి బయలుదేరే ముందు పునరావాసం(rehabilitation) ప్రారంభమవుతుంది. డిశ్చార్జ్ తరువాత, ఇంటి వద్ద పునరావాసం కొనసాగించాలి మరియు వీలైతే అదే ఆసుపత్రిలో వైద్యులతో సంప్రదింపులు కొనసాగించాలి.
ఒక వ్యక్తి యొక్క పరిస్థితి కి అనుగుణంగా రికవరీ అవసరాలు మారవచ్చు.
మరియు కింద పేర్కొనబడిన వైద్యుల సూచనలను సలహాలను పొందవచ్చు
- న్యూరాలజిస్ట్
- డైటీషియన్
- ఫిజికల్ థెరపిస్ట్
- ఆక్యుపేషనల్ థెరపిస్ట్
- స్పీచ్ థెరపిస్ట్
- సైకాలజిస్ట్ లేదా సైకియాట్రిస్ట్
Conclusion
స్ట్రోక్ వలన ఏర్పడిన అనేక ఇబ్బందులు నియంత్రించదగినవి కనుక, వైద్యుడి యొక్క వైద్య సూచనలు మరియు అవసరమైన జీవనశైలి లో మార్పులు చేసుకోవటం , అనేది ఒక వ్యక్తికి స్ట్రోక్ లేదా మరో స్ట్రోక్ వచ్చే అవకాశాలను తగ్గించడంలో సహాయపడుతుంది. అదేవిధంగా, తాత్కాలిక ఇస్కీమిక్ అటాక్ లేదా “TIA,” హెచ్చరిక సంకేతం గా తీసుకుని జాగ్రత్త పడాలి . మరియు ఇదే విషయాలు ఒక వ్యక్తికి పూర్తి స్థాయి స్ట్రోక్ ను నిరోధించడానికి సహాయపడతాయి.
ఔషధాలు మరియు జీవనశైలి మార్పులు కలిసి ఒకేసారి పనిచేస్తాయి, ఇది అత్యధిక ప్రయోజనాన్ని కలిగిస్తుంది . ఒక వ్యక్తి డాక్టర్ సూచించిన విధంగా అన్ని ఔషధాలను తీసుకోవాలి మరియు కొత్త స్ట్రోక్ ప్రమాదాన్ని తగ్గించడం కొరకు డాక్టర్ సిఫారసు చేసిన జీవనశైలి లో మార్పులను కూడా తప్పనిసరిగా చేయాలి.




















Appointment
WhatsApp
Call
More